Ntangiye nibaza ikibazo kugira ngo buri wese uhora akora iyo
suku, bimufashe gusesengura neza maze amenye impamvu ayikora. Buriya guseka ni
igikorwa cyerekana ko umuntu yishimye. Mu gihe rero wumva ushaka kugaragaza uwo
uriwe biciye mu nseko buriya biba byiza gusukura mu kanwa kawe ubyitayeho. Hari
benshi guseka bibera ikibazo bitewe nuko banuka mu kanwa, cyangwa amenyo yabo
yarakutse cyangwa yarahongotse, wenda amenyo yawe yarahinduye ibara kubera
imyanda yajemo. Muri make umuntu akaba afite ipfunwe ryo kubumbura umunwa we mu
gihe arikumwe n’undi muntu.
Amenyo ni ingenzi mu buzima bwa muntu, aho adufasha mu
guseka, kuvuga, kurya ndetse no guha ishusho cyangwa imiterere yacu yo mu isura.
Buriya udukoko two mu kanwa dukunze kwataka amenyo y’umuntu ni ikibazo gikomeye cyane k'ubuzima bwo mu kanwa. Utwo dukoko dushobora kuba turi ku menyo, cyangwa hagati
yayo maze bigateza amenyo gucukuka. Utwo dukoko rero nanone dushobora kugenda
tukibera hagati mu ishinya maze bikarangira ishinya ihangirikiye ikarwara
indwara zitandukanye. Dore zimwe uko zigaragara mu mafoto:
![]() |
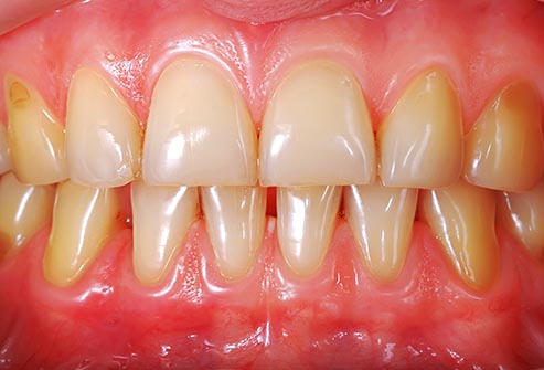
| Imyanda yo mu menyo |
![]() |
| Imyanda yo mu menyo. |
![]() |
| Gucukuka kw'iryinyo ndetse rikaba ryanakurwa. |
![]() |
| Kunuka mu kanwa. |
![]() |
| Ni inshingano z'umubyeyi kwita ku menyo y'abana be. |
Ngarutse ku kibazo natangiye nibaza, Isuku yo mu kanwa ihoraho kandi ikozwe neza ni ingenzi kugira ngo ikure mu menyo cyangwa mu ishinya twa dukoko, ibisigazwa by’ibiryo, imyanda yose muri rusange. Ni byiza gusukura mu kanwa mu gitondo nyuma yo gufata ifunguro rya mu gitondo, na nimugoroba mbere yo kuryama; ukoresheje uburoso n’umuti w’amenyo. Icyo gikorwa kiba kigomba kumara hagati y’iminota 3 na 5. Ni ngombwa kandi kwibuka ko biba byiza kurushaho iyo ukoresha akadodo kagenewe gucishwa mu menyo nibura rimwe ku munsi. Nimba ushaka akanwa kazira indwara ni byiza kwibuka kujya usura muganga w’amenyo mu gihe cy’amezi 6 ukagerayo nk’inshuro 1.
![]() |
| Isuku ni ingenzi mu kubungabunga amenyo yacu. |
Src: Cyberanto







Comments